Admin
 
 
Logo DIPLOX
Ciencia y tecnología
Vine Llega A Windows Phone 8
Vine ya está disponible para Windows Phone 8. Vine nos permite grabar tanto con la cámara frontal como con la posterior, y para ello debemos mantener pulsado el botón de grabación. La App se integra en el...
España Multa A Google Por Más De Un Millón De Dólares
La Agencia Española de Protección de Datos (AEPD) sancionó a Google por cometer tres infracciones graves de la ley de protección de datos, cada una multada con 300.000 euros (unos 410.000 dólares). La AEPD, que...
Corea del Sur está trabajando en el 5G y promete la descarga de 800 MB en un segundo
El ministro de Ciencia de ese país indicó que se invertirán US$ 1.500 millones para crear el estándar antes de 2020, fecha que también tienen como límite China y la Unión Europea. Mientras que ciertos países...
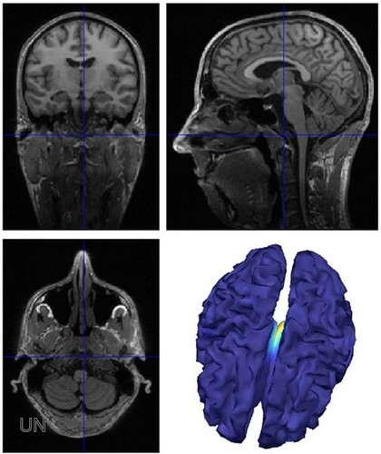
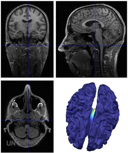
Cientificos Argentinos identifican un mecanismo que causa la epilepsia y la resistencia a la medicación
El hallazgo de científicos de la UBA permitiría en el futuro prevenir convulsiones y ayudar al 30 por ciento de los pacientes que no responden a la medicación convencional Nuevo método no invasivo para detectar...
Diseñan un motor de ADN capaz de andar a lo largo de un nanotubo
Esta ilustración muestra el mecanismo de impulso del nuevo tipo de motor de ADN que los investigadores han demostrado al usarlo para transportar una nanopartícula a lo largo de un nanotubo de carbono. (Foto:...
Gran Enciclopedia de la Astronáutica (245): Altímetro
Uno de los instrumentos fundamentales en muchos aspectos de la astronáutica es el altímetro. Se trata de un dispositivo que, mediante diversas tecnologías, permite calcular la altitud de un vehículo respecto a la...