Admin
 
 
Logo DIPLOX
Salud
¿Que puede comer un celíaco?
Las personas que poseen esta enfermedad, tienen un problema alimenticio que puede llegar a complicarles la vida, por no hablar de lo molesto que es tener que estar mirando continuamente qué es lo que pueden comer y lo...
Comer demasiadas calorías duplica el riesgo de sufrir pérdida de memoria
Un estudio de la Clínica Mayo (EE UU) revela que comer entre 2.100 y 6.000 calorías al día duplica el riesgo de sufrir pérdida de memoria al llegar a la tercera edad. O lo que es lo mismo, que cuantas más calorías...
Una cirugía pionera en el mundo
Por primera vez reconstruyeron el intestino delgado y el piso pelviano para revertir el ano contra natura La noche después de la última operación Aníbal Sayavedra no pudo conciliar el sueño. ¨Me fui a bañar...
La prevención es la clave para evitar exacerbaciones asmáticas
Los investigadores advierten que los niños con asma se encuentran en mayor riesgo de exacerbaciones en el otoño debido a la ambrosia en el aire y las esporas de moho. Dichas exacerbaciones están marcadas por la...
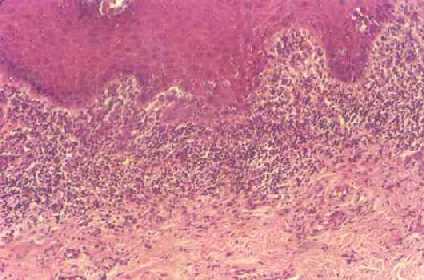
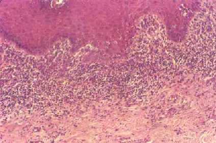
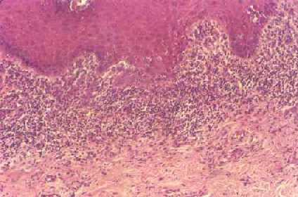
¿Que es el Liquen Plano?
El liquen plano es una enfermedad poco común que causa erupción o lesión inflamatoria y picazón recurrentes en la piel o en la boca. No se conoce la causa exacta de esta enfermedad, pero es probable que esté...
Cómo se contagia el SIDA.
Es mucho el desconocimiento a día de hoy de esta enfermedad, sobre todo en el campo de su contagio. El VIH se puede contagiar por la sangre o por actividad sexual, descartando otros métodos de contagio que dan miedo a...