Salud
La obesidad mata más gente que el hambre
La curiosa conclusión la arrojó un estudio científico publicado en una revista británica. Se hizo una comparación entre las causas de muerte en 2010 y datos recogidos hace 20 años...
Investigadores Argentinos comprueban que más hierro en embarazadas mejora la salud de los niños
Un estudio realizado en La Plata demostró que un grupo de mujeres embarazadas que recibieron hierro en forma domiciliaria tuvo un 25 por ciento más contenido de ese mineral en la leche, lo cual resulta beneficioso para...
Buenos Aires ruidosa: se viene una generación de sordos
El 30 por ciento de los adolescentes tendrá problemas auditivos a futuro. Es común que los adolescentes escuchen música a muy alto volumen y que pasen gran parte de su tiempo con los auriculares en sus oídos. También...
¿Sos un "procrastinador"? Es probable que sí, y no lo sepas... ¡enterate!
Es una alteración muy común que puede esconder enfermedades graves como la neurosis obsesiva o la depresión. Enterate qué significa la "procrastinación" y fijate te sentís identificado en este informe... La...
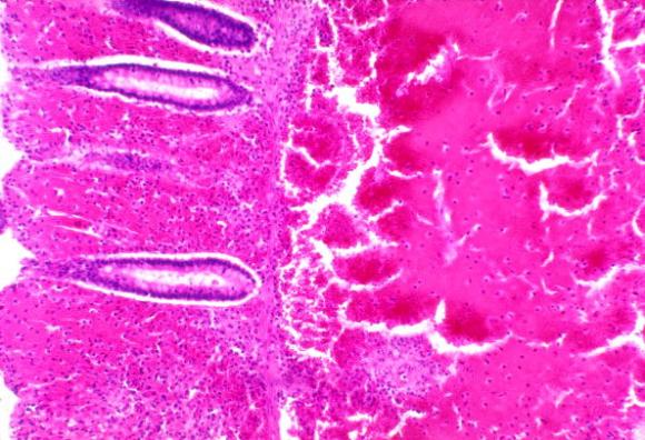
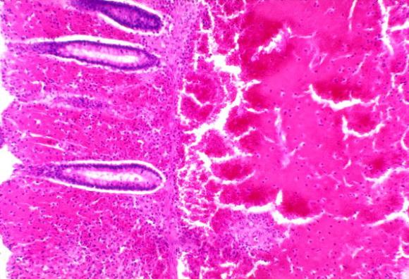
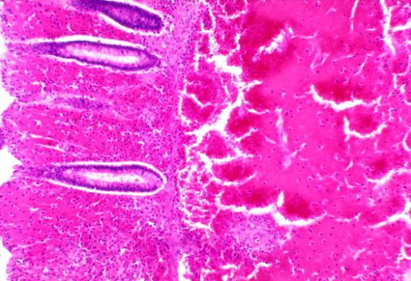
La clave del intestino para alejar virus y bacterias está en sus propios nutrientes
Se comprobó que en esta supervivencia y lucha por el territorio las secreciones que se liberan desde el interior son más potentes que las que vienen de afuera con los alimentos....
Estudian si epidemia de linfoma folicular en Australia es causada por pesticidas y solventes
Este tipo de cáncer pertenece al grupo de linfomas no Hodgkin, tumores que atacan a los linfocitos, células el sistema inmunitario. En Australia, los científicos de la Universidad de Nueva Gales del Sur se preguntan...