Ciencia y tecnología
Diseño y Creatividad Argentinos en el Puerto de Frutos
Ideas para tu Casa con Diseño y Mano de Obra Argentinos: Hecho a Mano. Asesoramos sin cargo. Abierto de Martes a Domingo de 11 a 19 hs http://ff.im/1gka9f http://deco-concreto-art-tigre.blogspot....
Cientificos Argentinos descubren cuánto tarda en formarse un recuerdo
Un trabajo realizado por dos científicos argentinos, Rodrigo Quian Quiroga y Hernán Rey, y publicado en la publicación Current Biology, refleja que un recuerdo tardaría en formarse en 300 milisegundos “En el...
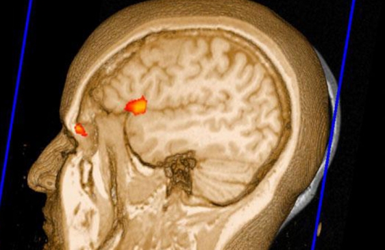
Cientificos Argentinos están cerca de lograr un tratamiento efectivo para los acúfenos
Tras analizar drogas que producen “ruidos fantasmas” con efectos secundarios, un equipo internacional, liderado por la científica del conicet Ana Belén Elgoyhen, identificó neurotransmisores y proteínas asociados al...
Avance argentino en la lucha contra el cáncer‏
Investigadores del Conicet alcanzaron la tapa de la revista científica “Cell” por el descubrimiento de un mecanismo que bloquea los vasos sanguíneos que nutren al tumor y aumenta la respuesta inmune del paciente,...
Su coche podría funcionar con energía volcánica
La planta geotermal de Islandia, Carbon Recycling Internacional (CRI), utiliza el calor de un volcán para producir electricidad y al CO2 resultante, lo transforma en metanol El vulcanol, un tipo de combustible líquido...
Investigan medusas gigantes de 1,5 metros en las costas de Tasmania
Sus molestas picaduras llevan un veneno que causa dolor, calambres, ardor y cambios en la presión arterial Científicos están estudiando una especie no clasificada de medusa gigante después que unos residentes...