Salud
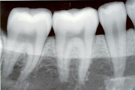
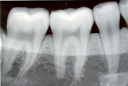
Radiografías dentales se relacionan a meningiomas
¿Qué debe hacer la próxima vez cuando el dentista le diga que debe tomarse una radiografía dental completa? Un nuevo estudio demuestra que debe limitar la cantidad de exposición a la radiación en el transcurso de la...
¿Por qué el estrés prolongado causa depresión?
Ante una situación puntual de estrés, se incrementa la actividad cardiaca, la respiración se vuelve agitada, aparece sudoración en las manos y la boca se seca. Pero cuando el estrés es continuado las cosas pueden...
Desayunar huevos y yogur ayuda a controlar el apetito
Desayunar huevos, yogur y otros alimentos ricos en proteínas aumenta la sensación saciedad y ayuda a controlar el apetito a lo largo de todo el día, así como a “picar” menos antes de la siguiente comida, según se...
¿Por qué se nos cae más el pelo en otoño?
Si al finalizar del verano se te cae el pelo, no eres el único. Cuando está a punto de comenzar el otoño, y el número de horas de luz disminuye, cambia el ritmo de la producción de hormonas sintetizadas en la glándula...
El miedo se puede borrar
Un nuevo estudio de la Universidad de Uppsala (Suecia) muestra que, si se interfiere en la memoria del miedo en el momento justo y estos recuerdos son recientes, se puede debilitar su impacto en el cerebro. Este...
Qué son los celos y por qué los sentimos
Sentir celos es parte de la naturaleza humana, es una respuesta emocional que ocurre como resultado de un complejo proceso psicológico que nunca es agradable. Por ello es que hoy te invito a intentar describir qué son...