Curiosidades
Los rostros de hombres y mujeres se parecen cada vez más.
Investigadores de la Universidad Estatal del Norte de Carolina (EE UU) han estudiado más de doscientos cráneos españoles y portugueses de los últimos cuatro siglos y han llegado a la conclusión de que las diferencias...
Sindrome de la cabeza explosiva
Curiosidades: muchos pasamos por esto alguna veces pero no sabemos si es normal o no, hasta hace poco ni siquiera sabiamos que tenia nombre En 1988, en un articulo publicado en la revista The Lancet, JM Pearse...
Intel busca inspiración en la ciencia ficción
El fabricante de chips Intel ha encargado a un grupo de autores de ciencia ficción que escriban historias breves en las que imaginen el uso futuro de tecnologías de la compañía. La colección de cuentos, llamada "The...
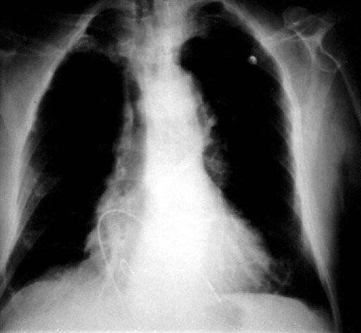
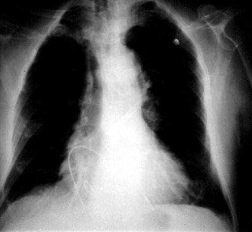
Ingeniero colombiano crea un marcapasos del tamaño de un tercio de un grano de arroz
Bogotá, 21 ago (EFE).- El ingeniero electrónico colombiano Jorge Reynolds, creador del primer marcapasos hace 53 años, anunció este fin de semana el lanzamiento de un dispositivo tan grande como un tercio de un grano de...
Una médica rodea su casa con jeringas con el virus del VIH para espantar a los ladrones
Brasilia, 21 ago (EFE).- Una médica que dijo estar "harta" de que asaltaran su casa adoptó una polémica medida de seguridad y colocó en una cerca que rodea su residencia en Brasilia decenas de jeringas que, según ella,...
Un barco impulsado por el Sol
PlanetSolar, la nave más grande impulsada con energía solar, es un catamarán blanco de 31X15 metros, equipado con más de 500 metros cuadrados de paneles solares y puede alcanzar una velocidad máxima de 15 nudos,...